2024-02-22 Aktualności

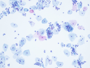
Cytologia to procedura służąca nie tylko wykryciu raka – bywa pomocna także w diagnostyce infekcji, stanów zapalnych czy innych nieprawidłowości potencjalnie wskazujących na różnorodne stany chorobowe. Cytologia na podłożu płynnym (Liquid Based Cytology, LBC) pozwala na uzyskanie lepszej jakości próbek, a także większej czułości i swoistości metody, co przekłada się na bardziej wiarygodne wyniki badania. Miarodajne wyniki cytologii pozwalają z kolei na wczesne wykrycie nieprawidłowości takich jak: stany zapalne i infekcje, zaburzenia komórkowe, zmiany przednowotworowe i nowotwory – często wtedy, kiedy schorzenia są w pełni wyleczalne, a sama terapia może być minimalnie inwazyjna.

Przekonują o tym dr Łukasz Blukacz (specjalista ginekolog, Centrum Medyczne Severux) i Beata Boruta (diagnosta laboratoryjny, dyrektor medyczny i członek zarządu badaj.to – sieci laboratoriów i punktów pobrań).

 

Istnieją różne techniki cytologiczne. Dwie podstawowe to cytologia konwencjonalna i cytologia na podłożu płynnym (Liquid Based Cytology, LBC).

W cytologii konwencjonalnej materiał komórkowy jest rozmazany bezpośrednio na szkiełku mikroskopowym, a następnie barwiony i analizowany. Choć metoda ta jest szeroko stosowana, ma pewne ograniczenia  – jedynie niewielki ułamek pobranej próbki zostaje wykorzystany do wykonania preparatu i może nie odzwierciedlać faktycznego stanu klinicznego pacjentki. Komórki w takim preparacie mogą na siebie nachodzić lub być przysłonięte na przykład krwią lub śluzem. To zdecydowanie utrudnia interpretację wyników – zwraca uwagę Beata Boruta i dodaje: Cytologia na podłożu płynnym (LBC), zwana również cytologią cienkowarstwową, to nowsza technika, w której pobrane komórki są najpierw umieszczane w specjalnym roztworze, co pozwala na usunięcie zanieczyszczeń i stworzenie równomiernego rozmazu komórkowego. Oceniamy znacznie większą ilość pobranych komórek nabłonka, następuje natychmiastowe ich utrwalenie, pozwalające zachować właściwą jakość komórek. Ta metoda zapewnia lepszą jakość obrazu i ułatwia detekcję atypowych komórek, co czyni ją bardziej miarodajną i coraz popularniejszą w praktyce klinicznej. Istotne, że technologia ta pozwala na wykonanie wielu reprezentatywnych i powtarzalnych preparatów z jednego pobranego materiału.

Zdaniem dr. Łukasza Blukacza rozwój medycyny na przestrzeni ostatnich dwóch dekad można określić jako rewolucyjny, szczególnie w kontekście profilaktyki i diagnostyki raka szyjki macicy: Począwszy od podstawowych technik rozmazowych wprowadzonych przez Georgiosa Papanicolaou w pierwszej połowie XX w., cytologia przeszła znaczące zmiany, przede wszystkim dzięki postępowi technologicznemu i lepszemu zrozumieniu etiologii raka. Jednym z przełomowych odkryć było ustalenie związku pomiędzy wirusem brodawczaka ludzkiego (HPV) a rakiem szyjki macicy. Odkrycie to, za które Harald zur Hausen otrzymał Nagrodę Nobla w dziedzinie medycyny w 2008 r., przyczyniło się do znacznego postępu w profilaktyce i diagnostyce tego nowotworu. Rozwój szczepionek przeciwko HPV i włączenie ich do programów szczepień jest uważane za kluczowy krok w kierunku eliminacji raka szyjki macicy.

W opinii ekspertów inną istotną zmianą było wprowadzenie cytologii na podłożu płynnym, która zastępuje tradycyjne metody rozmazowe.

Cytologia LBC oferuje lepszą jakość próbek, lepszą czułość i swoistość metody, co przekłada się na bardziej wiarygodne wyniki badań. Stosowane w tej technice roztwory utrwalające są tak zaprojektowane, aby optymalnie utrwalić materiał komórkowy pobrany od pacjentki. Obecnie są dostępne rozwiązania technologiczne, które automatyzują, ale także standaryzują etap powstawania preparatu. Ważne jest, aby stosować wyłącznie klinicznie zwalidowane podłoża, zalecane w stanowisku Polskiego Towarzystwa Kolposkopii i Patofizjologii Szyjki Macicy. Laboratorium Badaj.to dostosowuje się do rekomendacji i stosuje zalecane podłoża PreservCyt amerykańskiej firmy Hologic. Na co dzień obserwujemy wzrost zainteresowania cytologią LBC, co świadczy o coraz większej świadomości kobiet w temacie profilaktyki raka szyjki macicy – zauważa Beata Boruta.

 

Dr Łukasz Blukacz przypomina: (...) W Polsce wykonywanie badania cytologicznego jest wskazane od momentu rozpoczęcia współżycia i nie później niż od 25. roku życia. Schemat postępowania w skriningu podstawowym raka szyjki macicy Polskiego Towarzystwa Ginekologów i Położników (PTGiP) z czerwca 2022 r. zakłada wykonanie przesiewowej cytologii nie rzadziej niż co trzy lata. W określonych sytuacjach, gdy wynik jest nieprawidłowy bądź wątpliwy, zaleca się jednak wcześniejsze badanie. Od lat wiele Polek wykonuje badanie cytologiczne co roku, co nie jest złą praktyką, zważywszy na częste rozpoznawanie raka szyjki w Polsce w stosunku do innych krajów europejskich. 

 

Copyright © Medyk sp. z o.o